
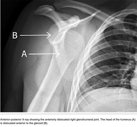
Anterior shoulder instability (ASI) is a prevalent issue, particularly among young and active individuals, often necessitating surgical intervention to restore stability and function. A recent study published in the Arthroscopy, Sports Medicine, and Rehabilitation Journal by Dr. Kelechi Okoroha and colleagues employ advanced unsupervised machine learning techniques to categorize and characterize the "optimal observed outcome" following surgical treatment for anterior shoulder instability (ASI). By analyzing data from patients under 40, it distinguishes between favorable and suboptimal postoperative outcomes and identifies demographic, clinical, and treatment variables that predict these outcomes. Using statistical analyses, including descriptive statistics and Kaplan-Meier survival curves, the goal is to enhance understanding of factors contributing to successful surgical outcomes and refine criteria for optimal results in ASI patients.
Study Highlights:
Patient Demographics: This study included 200 patients under 40 years old undergoing surgery for ASI.
Follow-up: 200 patients with an average follow-up of 11 years.
Positive Outcomes: 64% of patients achieved the “optimal observed outcome” defined as minimal postoperative pain, no recurrent instability or OA, low revision surgery rates, and increased range of motion, of whom only 41% achieved a "perfect outcome."
Conclusion
In conclusion, this study utilized unsupervised machine learning clustering to define and analyze outcomes following surgery for anterior shoulder instability (ASI). Key predictors of achieving the optimal outcome included shorter time from initial instability to surgery presentation and a history of preoperative subluxations rather than dislocations. These insights underscore the importance of timely intervention and specific injury patterns in optimizing surgical outcomes for ASI patients.
At Mayo Clinic, located in Minneapolis, Minnesota, we are committed to providing personalized care and innovative treatments to help athletes reach their full potential. This study underscores our dedication to advancing the field of shoulder instability surgery through evidence-based practices and predictive analytics. To learn more about the implications of Shoulder Instability Surgery, schedule a consultation with Dr. Okoroha today. Seeing patients from Minneapolis, St. Paul, Plymouth, Edina, Minnetonka, Rochester, and Minnesota ensures that we are accessible to athletes and individuals seeking specialized care tailored to their needs.


